Form | Deluxeveneers
loader image

Consult form

Please complete this form thoroughly and truthfully to ensure safe and accurate care.

📸 Photos – Tips Before Taking Them

Before submitting your photos, please follow these guidelines to ensure a proper evaluation of your smile:

• Close your teeth together completely.
• Keep your lower teeth in their natural position (do not push them forward).
• Make sure your teeth are the main focus of the photo and that the photo is well-lit.
• Use your fingers to gently move your lips if they cover your teeth.
• Remove any dentures before taking the photo.
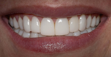
Smile
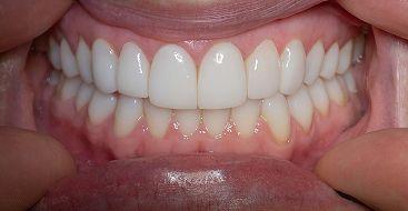
Frontal Occlusion
Left Occlusion
Rigth Occlusion
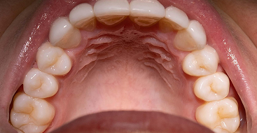
Upper arch
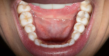
Lower arch
📸 Photos – Tips Before Taking Them

Before submitting your photos, please follow these guidelines to ensure a proper evaluation of your smile:

• Close your teeth together completely.
• Keep your lower teeth in their natural position (do not push them forward).
• Make sure your teeth are the main focus of the photo and that the photo is well-lit.
• Use your fingers to gently move your lips if they cover your teeth.
• Remove any dentures before taking the photo.
Frontal Occlusion
Smile
Left Occlusion
Rigth Occlusion
Upper arch
Lower arch

Web App

Especialistas en el desarrollo de aplicaciones web personalizadas que se adaptan a las necesidades específicas de tu negocio. Utilizando las últimas tecnologías, creamos aplicaciones web rápidas, seguras y escalables que mejoran la experiencia del usuario.

Paginas web api

Movil App

Expertos en el desarrollo de aplicaciones móviles personalizadas para iOS y Android. Creamos aplicaciones innovadoras y funcionales que mejoran la experiencia del usuario y ayudan a tu negocio a destacarse en el mercado móvil.

Aplicacion Movil

Documentacion QA

En DINOLABS ofrecemos servicios de documentación QA (Quality Assurance) que aseguran la calidad y precisión de tus proyectos de software. Nuestra documentación detallada y bien estructurada facilita la comprensión y el mantenimiento de tus aplicaciones, mejorando la eficiencia del equipo y la satisfacción del cliente.

  • Levantamiento de requerimientos
  • Documentación técnica completa
  • Casos de uso
  • Manuales de usuario
doc paginas web

Testing

Brindamos servicios de testing QA (Quality Assurance) para asegurar que tus aplicaciones funcionen perfectamente y sin errores. Nuestro enfoque integral en testing QA garantiza la calidad, seguridad y rendimiento de tus productos de software.

qa paginas web

Website

Nos especializamos en el desarrollo de páginas web personalizadas que combinan diseño atractivo y funcionalidad avanzada. Creamos sitios web optimizados que mejoran tu visibilidad en línea y atraen más clientes potenciales, las paginas son totalmente responsivas.

Páginas web para empresas